Dilatační kardiomyopatie - Echovet
Přejít na obsah
Hlavní nabídka:
Domovská stránka
Průběh vyšetření
Průběh vyšetření
Požadavky na ultrasonografická vyšetření
Požadavky při měření krevního tlaku
Požadavky na kardiologická vyšetření
Kardiologie
Nálezy
Ultrasonografie
Nálezy
Přístroje a vybavení
Sestava
Philips IE 33 a sondy
Philips IE 33 a sondy
Sondy Philips
My lab 30 Vet Gold a sondy
MyLab Twice a sondy
Vaskulární doppler a manžety
CONTEC ECG 1200G
Mikroskop Olympus BH2
Stůl na echokardiografická vyšetření
Ultrazvuk na zubní kámen
Kontakty
Absteinova anomálie
Aortální stenóza
Bikavitární pravá komora
Cor pumonale
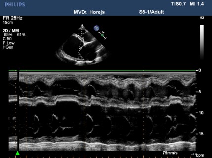
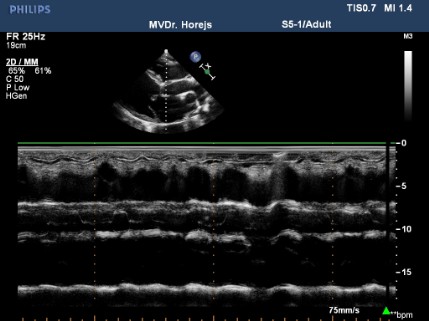
Dilatační kardiomyopatie
Fallotova tetralogie
Hypertrofická kardiomyopatie
Myxomatózní degenerace mitrální chlopně
Patentní ductus arteriosus
Perikardiální efuze
Pleurální efuze
Plicní hypertenze
Pulmonální stenóza
Restriktivní kardiomyopatie
Tumor plic
Tumor srdce
Ventrikulární septální defekt
Kardiologie > stranky s nalezy
Domovská stránka
|
Průběh vyšetření
|
Kardiologie
|
Ultrasonografie
|
Přístroje a vybavení
|
Kontakty
|
Hlavní mapa webu
Návrat na obsah
|
Návrat do hlavní nabídky
Chcete-li použít tuto webovou stránku, musíte povolit JavaScript